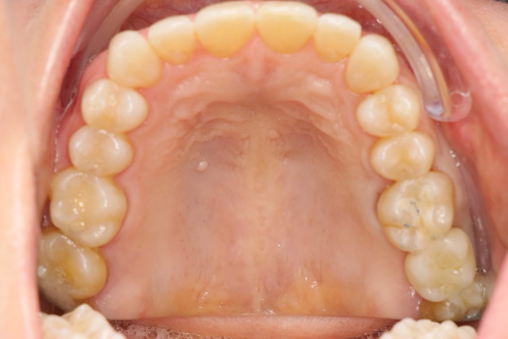
Après la pose, la fonction et l’esthétisme sont rétablis via un dispositif personnalisé,
parfaitement ajusté, ancré et équilibré.


La couronne épouse le pontique en place et verrouille le dispositif.
Le pontique apporte un étayage complet.



Variantes


Le pontique peut être associé à un ou deux onlays, ou à une ancienne couronne.
Les dents porteuses travaillent toujours dans leur axe naturel.


Pour en savoir plus…


Cas cliniques